Home/Gallery
Gallery
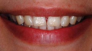
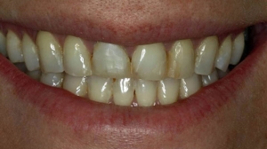
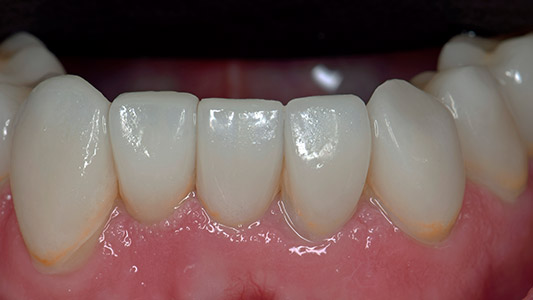
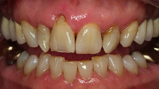
Dr. Isaías Íñiguez specializes in cosmetic dentistry and restorative care solutions. Instead of jumping into more aggressive procedures, Dr. Íñiguez always looks for the least invasive route in maintaining the most structure of your own tooth. With procedure offerings ranging from porcelain veneers to dental implants, our dentists have used their knowledge and skill to give patients healthy, beautiful smiles that can last for decades. But we don’t expect you to simply take our word for it. To hear what our patients have to say about their experiences at our practice, please visit our Patient Reviews page. If you would like to see before-and-after photos of some of our dentists’ recent smile transformations, take a few moments to look at our gallery. To learn more about how we can help you enhance the look of your smile and the health of your teeth and gums, or to schedule a consultation, please contact our office today.


























































































